ေငြေၾကးအခက္အခဲေၾကာင့္ အေလာင္းအစားျဖင့္ သံေခ်ာင္းကို မ်ိဳခ်

1.4K
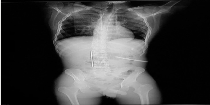
တ႐ုတ္ႏိုင္ငံအေရွ႕ပိုင္း၊ နင္းဘိုၿမိဳ႕မွာ အမ်ိဳးသားတဦးဟာ အေလာင္းအစားနဲ႔ ၁၂ စင္တီမီတာ အရွည္ရွိတဲ့ သံေခ်ာင္းကို မ်ိဳခ်ခဲ့ပါတယ္။
ဂြန္းအမည္ရတဲ့ အဲဒီအမ်ိဳးသားဟာ ယြမ္ေငြ ၆၀၀၀ အႏိုင္ရဖို႔အတြက္ သံေခ်ာင္းကိုမ်ိဳခ်ဖို႔ အေလာင္းအစား လုပ္ခဲ့တာလို႔ တ႐ုတ္ျပည္သူ႔ေန႔စဥ္သတင္းမွာ ဒီဇင္ဘာ ၃ ရက္ေန႔က ေဖာ္ျပပါတယ္။
အဲလိုမ်ိဳခ်ခဲ့ၿပီး ရက္အနည္းငယ္အၾကာမွာေတာ့ သံေခ်ာင္းဟာ အစာအိမ္ကို ထိုးမိခဲ့ၿပီး ေသလုေမ်ာပါးေ၀ဒနာ ခံစားခဲ့ရတာပါ။
ဂြန္းဟာ တ႐ုတ္ႏိုင္ငံ အေနာက္ေျမာက္ပိုင္းက သူ႔ေနအိမ္ကုိ စြန္႔ခြာၿပီး နင္းဘိုမွာ စီးပြားေရးလုပ္ဖို႔ လာခဲ့တာျဖစ္ေပမယ့္ ေမွ်ာ္လင့္ထားသလို အဆင္မေျပခဲ့လို႔ ခုလို ေငြေၾကးအတြက္ စြန္႔စားခဲ့ရတာလို႔ ေျပာပါတယ္။
ခုခ်ိန္မွာေတာ့ ဂြန္းရဲ႕ကိုယ္ခႏၶာထဲက သံေခ်ာင္းကို ဆရာ၀န္က ထုတ္ယူေပးႏိုင္ခဲ့ၿပီး ခြဲစိတ္မႈ ကုန္က်စရိတ္ဟာ ယြမ္ေငြ ၁၀၀၀၀ ေက်ာ္ က်သင့္ေစခဲ့တယ္လို႔ သတင္းမွာ ေဖာ္ျပပါတယ္။
ခုခ်ိန္မွာေတာ့ ဂြန္းရဲ႕ကိုယ္ခႏၶာထဲက သံေခ်ာင္းကို ဆရာ၀န္က ထုတ္ယူေပးႏိုင္ခဲ့ၿပီး ခြဲစိတ္မႈ ကုန္က်စရိတ္ဟာ ယြမ္ေငြ ၁၀၀၀၀ ေက်ာ္ က်သင့္ေစခဲ့တယ္လို႔ သတင္းမွာ ေဖာ္ျပပါတယ္။